如今,有很多人正饱受着毛囊炎的折磨,它的存在严重威胁着人们的身心健康。可惜还是对毛囊炎一无所知,对毛囊炎的发病原因更是不了解。>>>了解毛囊炎,在线问老专家
1毛囊炎的发病原因
中医学认为,毛囊炎主要是由于湿热所致,加上受到外界的邪毒,蕴结肌肤,在体内进行流通,诱发此病现代医学表明,毛囊炎的发生主要是由金黄色葡萄球菌感染引起的皮肤严重,伴有丘疹、脓疱、硬结等症状。
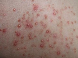
2毛囊炎的诊断
1、为硬结,有局部红肿,疼痛压痛。病源扩大,中央出现黄白色脓栓,继而软化,破溃,脓汁排出,炎症减轻渐愈。
2、疖肿较大时,可有发热,头痛及乏力等全身症状,白细胞数增高。
3、面部疖肿如合并颅内感染时,面部肿胀严重,可伴寒战,高热,头痛等海绵窦感染性栓塞。
3毛囊炎的治疗
疗法可运用中西结合,采用现代生物工程技术提取的天然生物制剂,取代传统单一中药和西药,中医结合,以前沿技术为保障,快速高效有效治疗毛囊炎,安全无反复。
我的毛囊炎能治愈吗?您可以点击【在线咨询】或<点击拨打:0513-85113666>医师咨询热线。









南通复大白癜风医院 |